口腔上颚白色颗粒是何原因?
我无法直接为您生成或显示图片,但可以为您详细描述这些白色颗粒可能的样子、成因以及如何通过图片搜索来找到相似的参考图,请务必记住,以下信息仅供参考,不能替代专业医生的诊断,如果您的口腔有任何异常,请及时咨询口腔科医生。
(图片来源网络,侵删)
口腔上颚白色颗粒的常见类型及描述
您可以根据以下描述,尝试在网上搜索关键词来查找图片。
粟丘疹
这是最常见的情况之一,通常无害。
- 外观描述:
- 非常小,像针尖或米粒大小。
- 白色或淡黄色,表面光滑,质地坚硬。
- 像埋在皮肤下的一个小颗粒,不痛不痒。
- 通常出现在上颚中线附近(也就是上颚中间那条缝的两侧)。
- 成因: 由于局部皮肤(黏膜)的微小损伤或汗管堵塞,导致角蛋白(一种蛋白质) trapped(被困)在皮肤下形成的。
- 图片搜索关键词:
口腔上颚粟丘疹图片,palatal papules(上颚丘疹),Fordyce spots on palate(上颚福特斑,但福特斑更多见于唇部,有时也出现在上颚)。
粘膜下黏液囊肿
这是一种良性的唾液腺潴留囊肿。
- 外观描述:
- 通常是一个半透明或淡蓝色的圆形小水泡。
- 大小不一,小的像米粒,大的可能像黄豆。
- 表面光滑,摸起来有弹性。
- 如果它破了,会流出黏稠的液体,然后可能又长出来。
- 成因: 由于小唾液腺的导管被咬伤或堵塞,唾液无法排出,积聚在腺体下形成囊肿。
- 图片搜索关键词:
口腔粘液囊肿图片,mucocele mouth,口腔上颚水泡。
角化性棘皮瘤 或 腭部乳头状瘤
这些是良性的增生性病变,但需要医生诊断。
(图片来源网络,侵删)
- 外观描述:
- 可能表现为一个或多个白色、粉红色或肉色的突起。
- 表面可能呈疣状或乳头状,不光滑。
- 通常质地较硬,生长缓慢。
- 成因: 病因尚不完全明确,可能与慢性刺激、病毒感染(如HPV)等有关。
- 图片搜索关键词:
口腔腭部乳头状瘤图片,palatal papilloma,oral torus palatinus(腭隆凸,这是上颚中线上的骨质隆起,表面覆盖黏膜,看起来也可能像一排白色颗粒,但它是骨性的)。
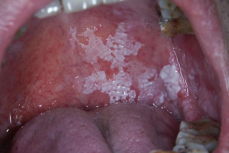
念珠菌感染 (鹅口疮)
如果白色颗粒可以擦掉,并且下方有发红的创面,则需要警惕。
- 外观描述:
- 像一层白色的“奶皮”或“豆腐渣”覆盖在黏膜上。
- 不易擦掉,如果强行擦掉,会留下红色、轻微出血的创面。
- 可能伴有口干、烧灼感或味觉改变。
- 成因: 由真菌(白色念珠菌)过度生长引起,常见于免疫力低下、长期使用抗生素或戴假牙的人。
- **图片搜索关键词:
口腔念珠菌感染图片,oral thrush,鹅口疮图片。
Fordyce spots (福特斑)
虽然更常见于嘴唇,但有时也会出现在上颚。
- 外观描述:
- 黄色或白色的小颗粒或斑点。
- 是皮脂腺的异位,本身是正常的生理结构,只是出现在了不该出现的地方。
- 无痛无痒,对健康无害。
- **图片搜索关键词:
Fordyce spots palate,口腔上颚皮脂腺异位。
如何在网上查找图片
- 使用搜索引擎: 打开百度图片、谷歌图片或必应图片。
- 输入关键词: 根据上面的描述,尝试输入以下中文或英文关键词进行搜索:
口腔上颚白色颗粒上颚粟丘疹口腔粘液囊肿腭部乳头状瘤口腔念珠菌感染
- 注意辨别: 查看图片时,注意观察颗粒的数量、形状、颜色、是否能擦掉、有无疼痛感等特征,与自己的情况进行对比。
总结与建议
| 可能原因 | 主要特征 | 是否需要就医 |
|---|---|---|
| 粟丘疹 | 极小、坚硬、白色、不痛不痒,多为散在点状 | 一般不需要,如有美观需求可处理 |
| 粘液囊肿 | 半透明/淡蓝色水泡,有弹性,可能反复 | 建议就医,医生可手术或激光去除 |
| 乳头状瘤等 | 突起、表面不平、质地较硬 | 强烈建议就医,需排除恶性可能 |
| 念珠菌感染 | 白色“奶皮”状,可擦掉,下方发红 | 强烈建议就医,需抗真菌治疗 |
| Fordyce spots | 黄白色小点,是皮脂腺,无害 | 不需要治疗 |
最重要的建议:
如果您的口腔上颚出现白色颗粒,尤其是以下情况,请务必尽快去看口腔科医生:
- 白色颗粒数量突然增多或体积变大。
- 伴有疼痛、灼烧感、麻木感。
- 白色颗粒可以擦掉,并且下方有出血或糜烂。
- 颗粒的形态、颜色在短时间内发生变化。
- 您不确定它是什么。
医生可以通过肉眼观察,必要时进行口腔内窥镜检查或活检,才能给出最准确的诊断和治疗方案,不要自行诊断或用药。
文章版权及转载声明
作者:99ANYc3cd6本文地址:https://schc.com.cn/post/10153.html发布于 01-29
文章转载或复制请以超链接形式并注明出处世康健康网


