口腔溃疡烂大块怎么办?
听到您说“口腔溃疡烂了好大一块”,我能想象到您现在一定非常难受,疼痛感很强,吃饭、说话都受影响,这种情况确实很折磨人。
(图片来源网络,侵删)
别担心,我们来一步步分析,并告诉您该怎么办。
为什么会出现“大块”的口腔溃疡?
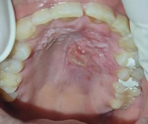
普通的小溃疡(如“轻型口疮”)通常比较小,7-10天会自愈,您描述的“好大一块”,在医学上更可能是以下两种情况之一:
- 重型口疮(阿弗他溃疡):也叫“复发性坏死性黏膜腺周围炎”,特点是溃疡面积大(直径可达1-2厘米甚至更大),边缘整齐,但基底凹陷,像一个小坑,疼痛感非常剧烈,愈合时间也长,通常需要1-4周甚至更久,愈合后可能会留下疤痕。
- 疱疹性口炎:由单纯疱疹病毒引起,初期可能是成簇的小水疱,很快会破溃,形成一片糜烂面或浅表溃疡,看起来就像“烂了一大块”,这种溃疡面积可能很广,除了牙龈、上颚,甚至可能出现在舌头和嘴唇上,并可能伴有发烧、淋巴结肿大等全身症状。
您现在应该怎么办?(紧急处理和缓解疼痛)
无论是什么原因,当务之急是缓解疼痛、防止继发感染、促进愈合。
第一步:保持口腔清洁,防止感染
- 温和刷牙:使用软毛牙刷,动作要轻柔,避开溃疡区域,但要清洁其他牙齿,避免食物残渣堆积。
- 使用漱口水:
- 首选:生理盐水或温水漱口,这是最安全、最有效的方法,每次饭后和睡前用温盐水(一杯水+半勺盐)漱口,每次30秒,可以帮助消炎、保持创面清洁。
- 可选:氯己定漱口水(如“口泰”、“康复新液”等),它能有效杀菌,但长期使用可能导致牙齿染色,建议在医生指导下短期使用。
第二步:局部用药,止痛促愈合
去药店或医院,根据医生建议选择以下药物:
(图片来源网络,侵删)
-
止痛类:
- 利多卡因凝胶/喷雾:在饭前使用,可以暂时麻痹溃疡面,让您能正常进食。注意:麻药感过后疼痛可能更明显,且不要过量使用。
- 含有苯佐卡因的凝胶:作用类似利多卡因,是非处方的局部麻醉剂。
-
促进愈合类:
- 西瓜霜喷剂/含片:非常经典的中成药,有清热解毒、消肿止痛的作用,对大部分溃疡都有效。
- 冰硼散:撒在溃疡面上,清凉止痛。
- 康复新液:漱口或含服,能促进黏膜修复和再生,效果很好。
- 口腔溃疡贴/膜:可以物理隔绝溃疡,保护创面,减少刺激,同时能缓慢释放药物。
-
激素类药膏(如曲安奈德口腔膏):这是处方药,由医生开具,对于重型口疮这类大而深的溃疡效果显著,能快速减轻炎症和疼痛,缩短病程。必须在医生指导下使用。
第三步:调整饮食和生活习惯
- 饮食:
- 吃温凉、软烂的食物:如粥、烂面条、酸奶、蒸蛋羹、土豆泥等。
- 避免刺激性食物:绝对不要吃辛辣、过烫、过硬、过酸的食物(如辣椒、火锅、薯片、柠檬、菠萝等),这些会极大刺激溃疡,加剧疼痛。
- 多喝水:保持口腔湿润,促进新陈代谢。
- 生活习惯:
- 保证充足睡眠:熬夜、过度疲劳是口腔溃疡的重要诱因,尽量保证每天7-8小时的睡眠。
- 管理压力:精神压力大、焦虑也容易诱发溃疡,尝试深呼吸、冥想等方式放松心情。
- 避免咬到:吃饭时小心,不要咬到自己的脸颊或舌头,以免加重创伤。
什么情况下必须去看医生?
虽然大部分口腔溃疡会自愈,但如果出现以下“危险信号”,请立即就医:
(图片来源网络,侵删)
- 溃疡面积巨大:像您说的“好大一块”,尤其是直径超过1厘米,且迟迟不愈合(超过2周)。
- 疼痛剧烈:疼痛程度已经严重影响到进食、饮水和睡眠。
- 反复发作或位置固定:同一个位置反复长溃疡,或者一次长好几个。
- 伴随全身症状:如发烧、皮疹、关节痛、腹泻、淋巴结明显肿大等,这可能是其他疾病的信号。
- 超过3周仍未愈合:长时间不愈合的溃疡需要警惕癌变的可能性(虽然概率很低,但必须排除)。
- 影响正常生活:因为溃疡导致无法进食,出现脱水迹象。
医生可能会做什么?
医生会:
- 明确诊断:判断是重型口疮、疱疹性口炎还是其他疾病。
- 开具处方药:可能会给您开更强效的漱口水、含激素的药膏或口服药物(如免疫调节剂)。
- 检查潜在病因:如果溃疡反复发作,医生可能会建议您检查是否有营养缺乏(如维生素B、铁、锌)、消化系统疾病、免疫系统问题或精神压力过大等情况。
总结一下
现在您可以立刻做的:
- 用温盐水漱口。
- 去药店买一支西瓜霜喷剂或康复新液,按说明书使用。
- 接下来的几天,吃粥、面条这类温和的食物,忌口辛辣烫硬的食物。
- 保证好好睡觉。
如果溃疡在一周内没有好转,或者疼痛难忍,请一定不要犹豫,及时去看口腔科或口腔黏膜科医生,医生的专业治疗能帮您更快地摆脱痛苦。
希望您能尽快好起来!
文章版权及转载声明
作者:99ANYc3cd6本文地址:https://schc.com.cn/post/3024.html发布于 2025-12-03
文章转载或复制请以超链接形式并注明出处世康健康网



