口腔内壁发白有条线是啥原因?
下面我为您详细分析一下可能的原因、您应该如何初步判断以及何时应该去看医生。
(图片来源网络,侵删)
可能的原因分析
口腔内壁发白,医学上通常称为“黏膜白斑”或“白色条纹”,其成因多种多样,主要可以分为以下几类:
物理刺激或创伤(最常见)
这是最常见且通常无害的原因,口腔黏膜非常娇嫩,容易受到物理刺激。
- 摩擦创伤:新换的假牙、牙套边缘不光滑、过硬的食物(如薯片、坚果壳)、牙齿锐利的边缘、长期咬颊或咬唇的习惯,都可能反复摩擦口腔内壁,导致局部黏膜增厚、发白,形成一条线状或带状的白色条纹。
- 烫伤:喝过热的汤或饮料后,可能会在相应位置出现发白的水疱或脱屑,形成一条线。
特点:通常位置固定,与刺激物相对应,颜色可能是白色或灰白色,边界清晰,去除刺激后,白斑可能会逐渐消失。
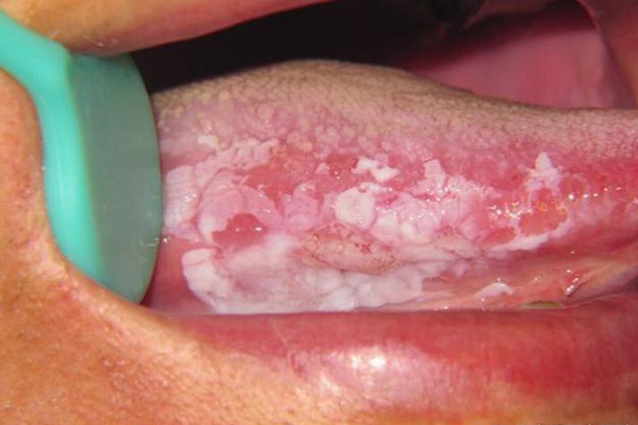
真菌感染(口腔念珠菌病)
俗称“鹅口疮”,是由真菌(白色念珠菌)过度生长引起的。
(图片来源网络,侵删)
- 诱因:长期使用抗生素、免疫力低下(如患有糖尿病、艾滋病或正在接受化疗)、佩戴假牙、口干等。
- 表现:通常表现为乳白色、豆腐渣样的斑块,用力擦拭可以擦掉,下方可能会有红色创面并伴有疼痛,有时也可能形成线状。
特点:白斑像牛奶一样,可以剥离,周围可能伴有红肿、疼痛感。
口腔扁平苔藓
这是一种常见的慢性炎症性口腔黏膜病,病因尚不完全明确,可能与免疫、精神压力、药物、感染等多种因素有关。
- 表现:典型表现为口腔黏膜上出现白色、珠光色的条纹(称为Wickham纹),这些条纹可以交织成网状、环状或线状,常伴有红色或糜烂的基底,患者可能没有明显感觉,也可能有粗糙、灼痛或刺激感。
- 特点:白色条纹通常有独特的花纹感,常对称出现在颊黏膜、舌、牙龈等部位,这是一种需要医生诊断和随访的疾病,因为极少数情况下有癌变风险。
白色水肿
这是一种良性病变,常见于颊黏膜咬合线附近,可能与吸烟、咀嚼槟榔、慢性刺激有关。
- 表现:黏膜呈半透明的白色或灰白色,质地柔软,像水泡一样,但不会破,有时也会呈线状。
特点:通常没有明显症状,边界不清,有时会呈现“鱼鳞状”外观。
(图片来源网络,侵删)
癌前病变或口腔癌(需要警惕)
这是最需要警惕但相对少见的情况。
- 癌前病变:如“白斑”,如果白斑表面变得粗糙、变硬、增厚、出现裂纹,并且不易擦除,癌变风险会增加。
- 口腔癌:早期可能表现为长期不愈合的溃疡、硬结或斑块,如果白色条纹迅速扩大、变硬、疼痛,或伴有颈部淋巴结肿大,需要高度警惕。
特点:白斑持续存在不消退,形态不规则,质地变硬,疼痛,生长迅速。
您应该怎么做?(初步判断和应对)
-
自我排查:
- 回想刺激源:最近有没有换牙套?有没有吃过特别硬或烫的东西?有没有咬到过?有没有长期用一侧牙齿咀嚼?
- 观察白斑特征:
- 颜色和质地:是像牛奶一样可以擦掉,还是像皮革一样固定在黏膜上?
- 边界:边界是清晰还是模糊?
- 感觉:有没有疼痛、粗糙、灼热感?
- 变化:这个白斑是突然出现的,还是已经存在很久了?它在变大吗?
-
可以尝试的家庭护理:
- 去除刺激:如果是假牙或牙齿边缘问题,及时去看牙医进行调整,改掉咬颊、咬唇的习惯。
- 注意饮食:避免过烫、过硬、辛辣刺激的食物。
- 保持口腔卫生:正确刷牙,使用牙线,定期洗牙。
- 戒烟限酒:吸烟和饮酒是口腔黏膜病变的重要诱因。
什么时候必须去看医生?
强烈建议您尽快去看口腔科医生或口腔黏膜病科医生。 因为仅凭文字描述无法做出明确诊断,医生需要通过专业检查来判断。
以下情况属于“警报信号”,请务必就医:
- 白斑持续超过2周,且没有好转迹象。
- 白斑迅速扩大、变厚、变硬。
- 用力擦拭后,白斑无法去除,或者去除后下方有出血、溃疡。
- 伴有明显的疼痛、灼痛感。
- 出现张口困难、吞咽困难。
- 颈部淋巴结肿大。
- 您感到非常焦虑和担忧。
医生可能会做什么?
- 视诊和问诊:医生会详细询问您的病史、生活习惯、用药史等,并仔细观察白斑的形态、位置、颜色。
- 活体组织检查(活检):这是诊断“金标准”,医生会从白斑处取一小块组织,送到病理科进行化验,以明确是炎症、真菌感染还是其他病变,特别是为了排除癌变的可能性。
口腔内壁发白有一条线,最常见的原因是物理刺激,通常问题不大,但也不能完全排除口腔扁平苔藓、真菌感染甚至癌前病变的可能性。
最稳妥的做法是:不要自己猜测,尽快预约一位专业的口腔科医生进行检查。 医生会给出最准确的诊断和最合适的治疗方案,让您安心。
文章版权及转载声明
作者:99ANYc3cd6本文地址:https://schc.com.cn/post/3193.html发布于 2025-12-03
文章转载或复制请以超链接形式并注明出处世康健康网



