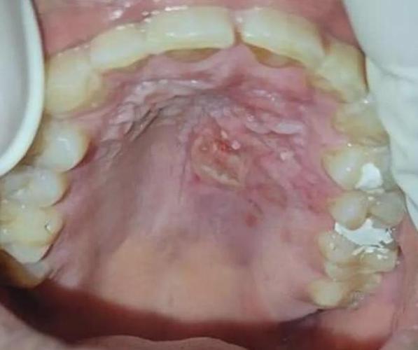
口腔溃疡为何会变成洞?
听到您说口腔溃疡变成了一个“洞”,这听起来确实很令人担忧,正常的口腔溃疡(阿弗他溃疡)通常是浅表的圆形或椭圆形溃疡,表面有黄色假膜,周围有红晕,一般不会形成“洞”。
(图片来源网络,侵删)
也是最重要的一点:请务必尽快去看医生(口腔科或口腔黏膜科)。 只有医生通过专业检查才能明确诊断,并给出正确的治疗方案,网络信息不能替代专业医疗建议。
下面我将为您分析一些可能的情况,但请记住,这不能作为自我诊断的依据。
为什么会形成一个“洞”?
口腔黏膜的损伤或病变如果比较深,累及到黏膜下层甚至更深层的组织,愈合时就可能形成凹陷或“洞”,这比普通溃疡要严重一些,可能的原因包括:
创伤性溃疡
- 原因:这是最常见的原因之一,可能是因为您不小心咬到了口腔黏膜,或者有尖锐的牙齿边缘、不合适的假牙、 broken filling(破损的补牙材料)或烤瓷牙的边缘长期摩擦、刺激口腔黏膜,导致深层组织坏死、脱落,形成一个凹陷。
- 特点:溃疡的形状通常与刺激物的形状相符(与牙齿咬痕的形状相似),位置固定,疼痛感明显。
深部阿弗他溃疡
- 原因:少数情况下,一些特殊的、严重的阿弗他溃疡(如贝赫切特病Behçet's disease所引起的)可能会非常深大,形成“深溃疡”或“穿凿性溃疡”,愈合后留下疤痕或凹陷。
- 特点:这种溃疡通常反复发作,不仅发生在口腔,还可能伴有生殖器溃疡、眼部炎症等其他症状。
感染
- 原因:某些严重的细菌或真菌感染(如结核分枝杆菌、某些深部真菌感染)可能导致组织坏死,形成深在的溃疡或脓腔,看起来就像一个“洞”。
- 特点:这类溃疡可能伴有红肿热痛更明显的炎症反应,甚至可能有脓液流出,愈合缓慢。
癌性溃疡
- 原因:这是最需要警惕的情况,口腔癌(如鳞状细胞癌)的早期可能就表现为一个长期不愈合的、质地硬的、边缘隆起、中央凹陷坏死(类似火山口)的溃疡。
- 特点:
- 长期不愈:超过2周甚至一个月以上仍不愈合,或愈合后又反复在同一部位复发。
- 形态异常:溃疡边缘不整齐,呈菜花状或火山口样,基底硬,摸起来像小石子一样。
- 疼痛性质改变:早期可能不明显,但后期疼痛剧烈,并向耳部、颞部放射。
- 伴有其他症状:可能伴有口腔麻木、张口困难、颈部淋巴结肿大、不明原因的体重下降等。
您现在应该怎么做?
-
立即就医(最重要!)
(图片来源网络,侵删)- 挂什么科? 口腔科 或 口腔黏膜科,如果医院没有口腔黏膜科,挂口腔科即可。
- 医生会做什么? 医生会进行详细的问诊(病史多长时间了、怎么发展的、疼不疼、有没有其他症状等)和口腔检查,为了明确诊断,医生可能会建议做:
- 口腔黏膜活检:这是诊断“金标准”,医生会从溃疡处取一小块组织,送到病理科化验,以确定是良性病变还是恶性病变,请不要害怕这个检查,它是明确诊断最可靠的方法。
-
在去看医生前,您可以做的
- 保持口腔卫生:用软毛牙刷轻轻刷牙,避免刺激到溃疡处。
- 温和漱口:可以用温盐水(一杯温水加半茶匙盐)或医生开的漱口水漱口,保持清洁,减少细菌。
- 饮食注意:避免吃辛辣、过烫、过硬、酸性强的食物(如辣椒、油炸食品、坚果、柠檬等),以免加重刺激和疼痛,选择温凉、柔软、易消化的食物。
- 不要用手或工具抠挖:以免造成二次损伤或感染。
- 不要自行用药:在没有明确诊断前,不要乱用偏方或腐蚀性药物,可能会掩盖病情或加重损伤。
口腔溃疡变成“洞”是一个需要高度警惕的信号,它表明问题可能比普通溃疡要严重。请不要抱有侥幸心理,拖延只会让情况更复杂,尤其是如果是恶性病变,早发现、早治疗至关重要。
尽快预约医生,让专业人士来帮您解决问题,祝您早日康复!
(图片来源网络,侵删)
文章版权及转载声明
作者:99ANYc3cd6本文地址:https://schc.com.cn/post/3205.html发布于 2025-12-03
文章转载或复制请以超链接形式并注明出处世康健康网



