口腔粘膜囊肿图片是哪种类型?
以下文字描述和图片参考仅为科普目的,不能替代专业医生的诊断,口腔内的任何异常都应由口腔科医生进行面诊,以确定准确诊断和治疗方案,请勿自行诊断或用药。
口腔粘膜囊肿是什么?
口腔粘膜囊肿是指在口腔软组织(如唇、颊、舌、腭等)内出现的充满液体或半固体物质的囊性肿物,它们通常生长缓慢,大多数为良性。
常见的几种口腔囊肿类型及图片描述
以下是几种最常见的口腔囊肿类型,并配有典型的图片特征描述。
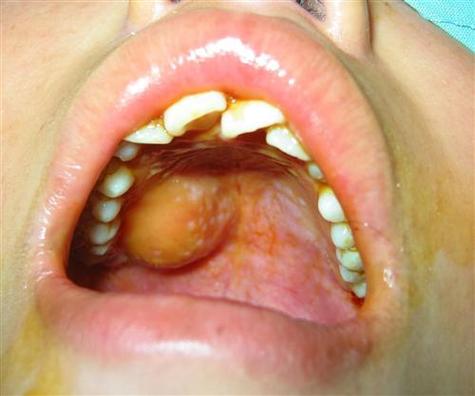
粘液腺囊肿
这是最常见的一种口腔囊肿,通常发生在下唇,也可见于舌尖、舌腹和颊粘膜。
- 成因: 由于唾液腺导管(特别是小唾液腺的导管)被咬伤、堵塞或破裂,导致唾液(粘液)潴留,形成一个囊袋。
- 典型外观(图片描述):
- 大小: 通常很小,直径约在0.5到1厘米左右。
- 形状: 呈圆形或椭圆形,表面光滑。
- 颜色: 颜色与周围粘膜相近,或因囊内液体清澈而呈半透明、淡蓝色;如果囊内有出血,则可能呈现为紫色或深红色。
- 位置: 好发于下唇内侧,也常见于舌尖。
- 感觉: 大多数没有疼痛感,但说话、进食时可能会感到不适,如果囊肿破裂,会流出透明、粘稠的胶冻状液体,然后囊肿会暂时缩小或消失,但容易复发。
- 图片示例描述:
你可以想象一张下唇内侧的特写照片,在唇粘膜上,有一个非常清晰的、像小水泡一样的圆形凸起,大约黄豆大小,它看起来鼓鼓的,表面光滑,颜色比周围组织稍微深一点,可能带一点蓝色调,用手触摸时,感觉是一个有弹性的、软软的小包。
(图片来源网络,侵删)
渚留性囊肿
这种囊肿是由于唾液腺导管本身发生慢性炎症或阻塞,导致腺体内的分泌物无法排出而形成的。
- 成因: 导管的炎症、结石或狭窄导致腺泡扩张,充满液体。
- 典型外观(图片描述):
- 大小: 可以比粘液腺囊肿稍大。
- 形状: 通常为圆形或卵圆形的隆起。
- 颜色: 颜色与粘膜一致或呈淡黄色。
- 位置: 可以发生在有腺体的任何部位,如舌下腺、腮腺导管开口附近等。
- 感觉: 一般无自觉症状,较大时可能会有异物感或轻微胀痛感。
- 图片示例描述:
一张舌下区域的图片,在舌系带两侧,可以看到一个或两个边界清晰的圆形肿物,质地柔软,颜色是正常的粉红色,看起来就像粘膜下多了一个“小枕头”,没有破溃的迹象。
皮样囊肿
这是一种较为少见的囊肿,源于胚胎发育时期的上皮组织残留。
- 成因: 胚胎时期发育异常,导致上皮组织陷入深层组织并增殖形成。
- 典型外观(图片描述):
- 大小: 通常较大,生长缓慢。
- 形状: 圆形或椭圆形,边界清晰。
- 颜色: 表面颜色正常,有时因囊内容物(皮脂、毛发等)而呈淡黄色。
- 位置: 好发于口底、颏下等区域,位置较深,摸起来是固定的。
- 感觉: 质地较柔软或稍有韧性,一般无疼痛感,如果体积过大,可能会影响吞咽或说话。
- 图片示例描述:
一张口底的正面照片,可以看到在舌头下方、下巴内侧的区域,有一个明显的、边界清晰的圆形隆起,它不像小水泡那样薄,而是感觉像一个有厚度的、充满内容的包块,表面颜色与口腔粘膜一致。
(图片来源网络,侵删)
血外渗性囊肿 / 舌下囊肿 / 潴留囊肿(口外型)
这是一种特殊的囊肿,常见于婴幼儿和青少年,是由于外伤导致血管破裂,血液进入组织间隙并被包裹形成的。
- 成因: 婴儿出生时产伤或幼儿期外伤导致血管破裂出血。
- 典型外观(图片描述):
- 大小: 生长迅速,可形成较大囊肿。
- 形状: 柔软、有波动感。
- 颜色: 早期可能呈蓝色(因含血液),后期因血液分解而呈淡黄色。
- 位置: 最常见于口底,常表现为从一侧颌下区突出,形成所谓的“蛤蟆肿”。
- 感觉: 柔软,像水一样晃动,巨大时可影响呼吸和吞咽。
- 图片示例描述:
一张婴幼儿或青少年的面部照片,可以看到一侧的颌下区(下巴下方)明显不对称地鼓起一个大的、柔软的包,颜色可能是淡紫色或正常肤色,如果从口腔内看,口底一侧也会被一个巨大的、光滑的囊肿顶起,将舌头推向对侧。
总结与建议
| 类型 | 常见位置 | 典型特征 |
|---|---|---|
| 粘液腺囊肿 | 下唇、舌尖 | 小而圆,半透明或淡蓝色,易破裂复发 |
| 渚留性囊肿 | 舌下、腮腺附近 | 较大,圆形,边界清,一般无痛 |
| 皮样囊肿 | 口底、颏下 | 位置深,较大,质地稍韧 |
| 血外渗性囊肿 | 口底(颌下区) | 生长快,柔软,含血液呈蓝色(口外型) |
你应该怎么做?
- 不要惊慌: 大多数口腔囊肿是良性的,不会癌变。
- 不要自行处理: 千万不要自己用针去挑破或用手去挤压!这极易导致感染、出血,并大大增加复发的可能性。
- 及时就医: 尽快预约口腔颌面外科或口腔外科的医生。
- 医生会做什么?
- 临床检查: 医生会通过视诊和触诊来初步判断。
- 辅助检查: 可能会建议做B超来确定囊肿的大小、深度和性质,对于复杂的囊肿,可能需要进行穿刺活检或CT/MRI检查。
- 治疗方案:
- 小手术切除: 对于粘液腺囊肿等,最常用的方法是手术完整切除,包括周围的小唾液腺,以防止复发。
- 激光治疗: 对于一些表浅的小囊肿,激光也是一种选择。
- 其他治疗: 根据囊肿类型和位置,医生会制定最合适的方案。
专业的诊断是正确治疗的第一步,希望这些信息能帮助您更好地了解口腔囊肿,并促使您及时寻求专业的医疗帮助。
作者:99ANYc3cd6本文地址:https://schc.com.cn/post/4765.html发布于 2025-12-06
文章转载或复制请以超链接形式并注明出处世康健康网



