艾滋病的口腔表现图片
仅为医学知识科普和参考,不能替代专业医生的诊断,如果您口腔出现任何异常,请务必及时就医。
艾滋病毒(HIV)感染后,由于免疫系统(特别是CD4+ T细胞)受到破坏,口腔容易出现各种机会性感染和肿瘤,这些症状的出现,通常也标志着疾病可能进入了艾滋病期。
以下是艾滋病常见的几种口腔表现,并配有文字描述和示意图,网络图片可能不够清晰或存在误导,此处以文字描述为主,辅以示意图说明。
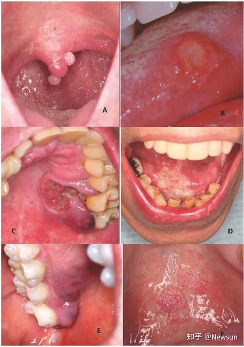
口腔念珠菌病
这是艾滋病最常见的口腔表现,也被称为“鹅口疮”或“雪口病”,它是由白色念珠菌过度生长引起的真菌感染。
-
典型图片描述:口腔黏膜(包括舌头、内颊、上颚、咽部)上覆盖着一层白色、乳酪状或豆腐渣样的斑块,这些斑块可以轻轻刮掉,刮掉后下方会留下一个鲜红色的、容易出血的创面。
(图片来源网络,侵删) -
示意图:
-
特点:
- 症状可能包括口干、味觉改变、烧灼感和疼痛,尤其在进食时。
- 严重时,白色斑块会融合成大片,影响吞咽和说话。
- 它是HIV感染者免疫功能下降的一个早期信号。
口腔毛状白斑
这是HIV感染的一个高度特异性的标志,几乎只发生在HIV阳性患者中。
-
典型图片描述:通常出现在舌侧缘(舌头的两边),表现为白色、毛茸茸或皱褶状的条纹或斑块,通常不易被擦掉。
(图片来源网络,侵删) -
示意图:
-
特点:
- 通常没有疼痛或不适感,但有时会感到麻木或刺激。
- 它是由EB病毒(Epstein-Barr virus)和人类乳头瘤病毒(HPV)共同感染引起的。
- 一旦出现,强烈提示需要立即进行HIV检测。
牙龈炎和牙周炎
HIV感染者更容易患上严重的牙龈和牙周疾病。
-
典型图片描述:牙龈严重红肿、发炎、极易出血,甚至没有刷牙时也会自发性出血,牙龈边缘可能变钝,并伴有疼痛和口臭,牙周组织被破坏,导致牙齿松动、移位甚至脱落。
-
示意图:
-
特点:
- 这种牙龈炎/牙周炎进展迅速,破坏力强,被称为“HIV相关牙周炎”。
- 它与口腔内其他细菌感染有关,也与免疫系统功能低下有关。
带状疱疹
由水痘-带状疱疹病毒引起,在HIV感染者中可能更严重、持续时间更长,甚至出现反复发作。
-
典型图片描述:在面部或口腔周围出现成簇的水疱,沿着神经呈带状分布,水疱破溃后会形成疼痛性的溃疡或结痂。
-
示意图:
-
特点:
- 疼痛是其主要症状,可能是剧烈的神经痛。
- 免疫功能极低的患者,疱疹可能扩散到更广泛的区域。
卡波西肉瘤
这是一种与HIV相关的恶性肿瘤,在口腔中也很常见。
-
典型图片描述:口腔(特别是上颚和牙龈)上出现紫红色、蓝色或深红色的斑块、结节或肿块,这些病灶平坦或高出黏膜表面,质地较硬。
-
示意图:
-
特点:
- 通常没有疼痛感,但病灶增大可能导致出血、影响咀嚼和吞咽。
- 它是由人疱疹病毒8型(HHV-8)引起的。
口腔溃疡
与普通口腔溃疡(如“口疮”)相比,HIV感染者出现的溃疡可能更多、更痛、持续时间更长。
-
典型图片描述:口腔内出现单个或多个圆形或椭圆形的溃疡,边界清晰,中心有黄色或灰白色的假膜,周围有红晕。
-
示意图:
-
特点:
- 疼痛明显,影响进食和说话。
- 常见于口腔任何部位,如唇、颊、舌、牙龈等。
总结与重要建议
| 疾病名称 | 主要特征 | 常见位置 | 提示意义 |
|---|---|---|---|
| 口腔念珠菌病 | 白色乳酪状斑块,可擦掉,下方出血 | 舌、颊、上颚 | 最常见,提示免疫下降 |
| 口腔毛状白斑 | 白色毛茸茸条纹,不易擦掉 | 舌侧缘 | 高度特异性,提示HIV感染 |
| 牙龈/牙周炎 | 牙龈严重红肿、易出血、牙齿松动 | 牙龈、牙周 | 进展迅速,破坏性强 |
| 带状疱疹 | 成簇水疱,带状分布,神经痛 | 面部、口腔周围 | 可能更严重、易复发 |
| 卡波西肉瘤 | 紫红色/蓝色斑块或结节 | 上颚、牙龈 | 艾滋病期恶性肿瘤表现 |
| 口腔溃疡 | 疼痛性溃疡,单个或多个 | 口腔各处 | 疼痛明显,不易愈合 |
如果您或您身边的人有以下情况,请务必高度重视:
- 有高危行为(如无保护性行为、共用针具等)后,口腔出现上述任何症状。
- 口腔出现不明原因的白色斑块、红色或紫色肿块、长期不愈的溃疡或严重牙龈炎。
- 伴有不明原因的长期发热、体重下降、盗汗、慢性腹泻、淋巴结肿大等全身症状。
立即行动:
- 停止猜测,立即就医:前往正规医院的感染科或皮肤性病科进行咨询和检测。
- 进行HIV检测:这是唯一明确诊断的方法,早发现、早治疗,可以有效控制病情,提高生活质量。
希望这些信息能帮助您提高警惕,科学预防,健康无小事,请务必对自己的健康负责。
作者:99ANYc3cd6本文地址:https://schc.com.cn/post/5514.html发布于 2025-12-07
文章转载或复制请以超链接形式并注明出处世康健康网



