智齿口腔溃疡图片能自诊吗?
智齿引起口腔溃疡的主要原因
- 机械性摩擦与压迫:萌出的智齿(尤其是阻生智齿)会不断挤压、摩擦相邻的牙龈(颊侧牙龈),导致黏膜破损,形成创伤性溃疡。
- 食物嵌塞:智齿与第二磨牙之间容易形成盲袋,食物残渣和细菌极易嵌塞其中,难以清洁,长期刺激会引发牙龈炎症和溃疡。
- 智齿冠周炎:这是最主要的原因,智齿部分萌出后,牙龈瓣覆盖在牙齿表面,形成一个盲袋,细菌在此大量繁殖,引发急性炎症,炎症会从牙龈蔓延到周围软组织,形成红、肿、热、痛的炎性溃疡或脓肿。
智齿口腔溃疡的图片与类型解析
以下将分类型进行描述,并尽力为您提供准确的视觉参考。
(图片来源网络,侵删)
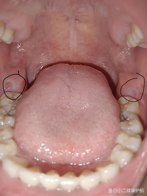
创伤性溃疡(最常见)
这是智齿直接摩擦或压迫牙龈造成的。
-
外观描述:
- 通常位于智齿正前方的牙龈或颊黏膜上。
- 溃疡边界清晰,形状不规则,与智齿的尖锐边缘或压迫点形状相吻合。
- 表面为黄色或灰白色的假膜(坏死组织),周围有一圈红晕。
- 疼痛感明显,尤其在进食、说话或触碰时。
-
图片参考:
(图片说明:箭头所指处为智齿边缘压迫牙龈形成的创伤性溃疡,边界清晰,周围红肿。)
(图片来源网络,侵删)
智齿冠周炎
这是由细菌感染引起的更严重的炎症,其表现更像是“脓肿”或“炎性包块”。
-
外观描述:
- 红肿:主要发生在智齿后方的牙龈组织,肿胀范围可能很大,甚至延伸到脸颊外部,导致脸颊鼓起。
- 化脓:在肿胀的牙龈顶端,可能会看到黄色的脓点或脓液渗出,这是典型的感染迹象。
- 疼痛:呈持续性、搏动性剧痛,并可能放射到耳部、头部、下颌,导致张口困难、吞咽疼痛。
- 全身症状:严重时可能伴有发烧、乏力、头痛等全身不适。
-
图片参考:
(图片说明:下颌智齿后方牙龈红肿、隆起,并可见白色脓点,这是典型的智齿冠周炎表现。)
(图片来源网络,侵删)
溃疡与食物嵌塞并存
这种情况非常普遍,是溃疡形成和加重的直接原因。
-
外观描述:
- 在智齿和相邻牙齿之间,能看到明显的食物残渣(如菜叶、肉丝等)嵌塞。
- 嵌塞物的周围牙龈高度红肿、糜烂,形成大小不一的溃疡面。
- 用牙签或牙线轻轻清理掉嵌塞物后,可以看到下方是一个红肿的“盲袋”。
-
图片参考:
(图片说明:智齿与第二磨牙之间被大量食物残渣塞满,导致周围牙龈严重红肿、糜烂,形成溃疡。)
如何区分智齿口腔溃疡与其他口腔溃疡?
| 特征 | 智齿相关溃疡 | 普通复发性口腔溃疡 (阿弗他溃疡) |
|---|---|---|
| 位置 | 固定在智齿周围,如牙龈、颊黏膜、盲袋处。 | 不固定,可在口腔内任何无角化的黏膜处,如唇内侧、舌腹、颊黏膜等。 |
| 形状 | 边界可能不规则,常与智齿形态相关。 | 圆形或椭圆形,边界清晰。 |
| 病因 | 机械摩擦、细菌感染、食物嵌塞。 | 免疫因素、精神压力、营养缺乏、激素变化等。 |
| 伴随症状 | 常伴有牙龈红肿、张口困难、面部肿胀、口臭,甚至发烧。 | 通常不伴有严重的红肿和全身症状,主要是疼痛。 |
| 复发频率 | 只要智齿问题不解决,会反复发作于同一位置。 | 周期性发作,此起彼伏,但位置不固定。 |
应对与治疗建议
-
局部处理(家庭护理):
- 保持清洁:饭后用温盐水或漱口水(如氯己定漱口水)含漱,清除食物残渣。
- 消炎止痛:在溃疡处涂抹口腔溃疡散、西瓜霜喷剂或利多卡因凝胶等,缓解疼痛。
- 避免刺激:吃温凉、软的食物,避免辛辣、过烫的食物。
-
药物治疗(遵医嘱):
- 医生可能会开口服抗生素(如甲硝唑、阿莫西林)来控制感染。
- 开消炎止痛的漱口水。
-
根本解决(强烈推荐):
- 拔除智齿:这是唯一能根治智齿相关口腔溃疡的方法,一旦智齿被拔除,盲袋消失,摩擦和感染源也就不存在了,对于反复发炎的智齿,建议在炎症控制后尽早拔除。
⚠️ 重要提醒
- 不要自行挤压脓包,以免感染扩散。
- 如果出现面部肿胀、张口严重受限、发烧等症状,请立即就医,可能需要静脉输液或切开引流。
- 图片仅为示例,个体差异较大,最准确的做法是让口腔科医生进行检查,明确诊断。
希望这些信息能帮助您更好地了解智齿引起的口腔问题,祝您早日康复!
文章版权及转载声明
作者:99ANYc3cd6本文地址:https://schc.com.cn/post/6205.html发布于 2025-12-12
文章转载或复制请以超链接形式并注明出处世康健康网



