口腔黄颗粒是何物?
口腔惊现“黄颗粒”?别慌!医生为你深度揭秘:它到底是什么,该怎么办?
刷牙时突然发现口腔里长了黄色的小颗粒?别自己吓自己!这可能是身体发出的信号,但也可能是无害的生理现象,本文作为口腔科医生,将为你详细解析口腔黄颗粒的5大可能原因危险信号以及科学应对方法**,助你正确判断,从容应对。
“医生,我早上刷牙,照镜子发现舌头上、牙缝里长了好多黄颗粒,是什么东西?是感染了吗?会癌变吗?”
在口腔科的诊室里,几乎每天都会有患者带着类似的焦虑和疑问前来咨询,口腔内突然出现的“不速之客”——黄色颗粒,确实会让人心神不宁,别担心,今天我们就来把这个“谜团”彻底解开。
作为一名从业多年的口腔医生,我将用通俗易懂的语言,结合专业知识,为你全面解读口腔黄颗粒的来龙去脉。
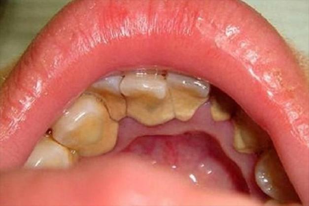
最常见的原因:口腔卫生“欠佳”的“铁证”
这绝对是导致口腔出现黄颗粒的首要元凶。
-
它是什么? 这些黄颗粒,通常是牙菌斑和食物残渣的混合物,经过唾液中的矿物质(钙、磷等)沉积后,形成的软垢或牙结石的雏形,它们常常藏匿在牙齿与牙龈的交界处(牙龈沟)、牙缝、牙齿的咬合面以及舌头上。
-
为什么是黄色? 牙菌斑本身是无色的,但它会大量繁殖,并和我们在饮食中摄入的色素(如茶、咖啡、酱油、烟草等)结合,久而久之就形成了黄色或黄褐色的沉积物。
-
如何判断? 通常在刷牙前或早晨刚起床时最为明显,用指甲轻轻刮一下,会发现这些物质可以被刮掉,并伴有轻微的出血或异味,这是身体在提醒你:“嘿,该认真刷牙了!”
第二大元凶:可能是“发炎”的信号——扁桃体结石
如果你的黄颗粒主要出现在喉咙两侧,那就要考虑是不是扁桃体结石了。
-
它是什么? 扁桃体表面有许多凹陷的“隐窝”,当食物残渣、脱落的细胞和细菌在这些隐窝内堆积、钙化后,就会形成黄白色或黄褐色的、质地坚硬的颗粒状物,这就是扁桃体结石。
-
典型症状:
- 感觉喉咙有异物感,咳不出来咽不下去。
- 持续的口臭,是扁桃体结石最典型的伴随症状。
- 有时会引起反复的咽喉疼痛或扁桃体发炎。
-
如何判断? 对着镜子张开嘴,压住舌头,用光照射喉咙两侧,有时能肉眼看到白色或黄色的“小石子”。
第三种可能:生理现象与良性病变
除了上述两种常见情况,一些生理性或良性的口腔问题也可能导致黄颗粒。
-
角化珠/皮样珍珠
- 它是什么? 这是一种常见的、良性的口腔黏膜现象,多见于婴幼儿和青少年,也可见于成人,它是在牙齿萌出过程中,口腔上皮细胞 trapped( trapped )在牙齿和牙龈之间形成的,像一粒小小的、白色的或淡黄色的珍珠。
- 特点: 通常质地较硬,不痛不痒,会随着牙齿的萌出而自行脱落,无需特殊处理。
-
粟丘疹
- 它是什么? 这是一种表皮的微小囊肿,由角蛋白堆积而成,在口腔黏膜上表现为针头大小的、坚实、白色或淡黄色的小丘疹。
- 特点: 通常无症状,无需治疗,如果影响美观或感觉不适,可由医生用针头挑破。
-
念珠菌感染(鹅口疮)
- 它是什么? 由真菌(白色念珠菌)感染引起,在口腔黏膜上形成乳白色、豆腐渣样的斑块,用力擦去后,下方会有发红的创面。
- 特点: 在免疫力低下者、婴幼儿和戴假牙的人群中高发,虽然颜色偏白,但有时也会呈现淡黄色,并伴随明显的灼痛感。
需要警惕的“危险信号”:何时必须就医?
绝大多数口腔黄颗粒都是良性的,但我们必须学会识别那些可能是严重疾病(如口腔癌前病变或口腔癌)的信号,如果出现以下情况,请立即就医,切勿拖延!
- 形态与质地异常: 黄颗粒迅速增大、变硬、固定不动,表面凹凸不平、呈菜花状,或伴有长期不愈合的溃疡。
- 伴随症状: 出现不明原因的口腔出血、麻木、疼痛(尤其是吞咽或说话时),以及颌面部不明原因的麻木或牙齿松动。
- 无法解释的持续存在: 通过加强口腔卫生后,黄颗粒依然长期存在,甚至越来越多。
- 全身症状: 伴有不明原因的体重下降、颈部淋巴结肿大等。
早发现、早诊断、早治疗是应对任何疾病的关键!
医生建议:科学应对,防患于未然
面对口腔黄颗粒,我们该如何科学处理和预防呢?
-
加强口腔卫生(治本之策):
- 正确刷牙: 每天至少两次,每次不少于三分钟,采用巴氏刷牙法,确保牙齿的每一个面都刷到,尤其是牙龈沟。
- 使用牙线: 每天至少使用一次牙线,彻底清除牙缝间的菌斑和食物残渣,这是牙刷无法企及的区域。
- 清洁舌苔: 使用舌苔刷或刮舌板,由舌根向舌尖轻轻刮除,能有效减少细菌和异味。
- 定期洗牙: 建议每半年到一年进行一次专业的口腔洁治(洗牙),彻底清除已经形成的牙结石和顽固牙菌斑。
-
饮食调整:
- 减少高糖、高色素食物(如浓茶、咖啡、红酒、碳酸饮料)的摄入。
- 多喝水,保持口腔湿润,有助于冲刷食物残渣。
- 多吃富含纤维的蔬菜水果(如苹果、胡萝卜),有助于清洁牙齿表面。
-
改变不良习惯:
- 戒烟限酒,烟草是导致口腔癌和牙齿变色的主要元凶之一。
- 避免用牙齿开瓶盖、咬硬物等,以免损伤牙齿和口腔黏膜。
-
定期口腔检查:
即使没有不适,也应每年至少进行一次全面的口腔检查,医生能发现你肉眼无法察觉的早期问题,防患于未然。
口腔出现黄颗粒,虽然多数时候是口腔卫生不佳或良性病变的信号,但我们绝不能掉以轻心,通过自我观察,结合科学护理,大部分问题都能得到改善。
核心要点回顾:
- 最常见原因: 牙菌斑/牙结石,解决方案: 认真刷牙、用牙线、定期洗牙。
- 咽喉处常见: 扁桃体结石,特点: 异物感、口臭。
- 无需过度担心: 角化珠、粟丘疹等良性病变。
- 高度警惕: 质地硬、生长快、不疼痛的“顽固”颗粒,可能是癌前病变信号,务必立即就医!
希望这篇文章能为你答疑解惑,网络信息仅供参考,最专业的诊断永远来自于你的牙医,关爱口腔健康,就是关爱全身健康!
作者:99ANYc3cd6本文地址:https://schc.com.cn/post/6470.html发布于 2025-12-14
文章转载或复制请以超链接形式并注明出处世康健康网



