口腔内壁白色物是何原因?需警惕吗?
仅为医学科普信息,不能替代专业医生的诊断,如果症状持续、加重或伴有其他不适,请务必及时就医。
(图片来源网络,侵删)
最常见的几种可能原因
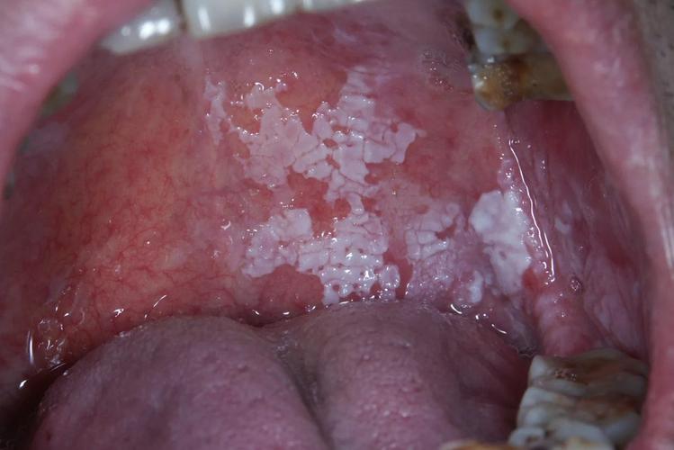
口腔黏膜白斑
这是最需要警惕的一种情况。
- 外观:表现为口腔黏膜上出现白色或灰白色的斑块,质地比较紧密,不易被擦掉,边界清晰,表面可能粗糙、有皱纹或裂纹,通常没有明显的疼痛感。
- 成因:最主要的危险因素是长期、大量的吸烟和饮酒,咀嚼槟榔、不合适的假牙或牙冠长期摩擦刺激、维生素缺乏等也可能导致。
- 危险性:口腔白斑属于癌前病变,虽然大部分不会癌变,但有少数可能发展为口腔癌,一旦发现质地较硬、不易擦掉的白色斑块,应立即就医。
念珠菌感染(俗称“鹅口疮”或“雪口病”)
这是一种由真菌(白色念珠菌)引起的感染。
- 外观:表现为口腔黏膜上出现乳白色、豆腐渣样的斑点或膜状物,这些白色物质可以被棉签轻轻擦掉,擦掉后下方会露出一个红色的、轻微出血的创面,常见于舌头、内颊、上颚和嘴唇内侧。
- 成因:
- 免疫力低下:如患有糖尿病、艾滋病,或正在接受化疗、放疗。
- 长期使用抗生素或激素:破坏了口腔内正常的菌群平衡。
- 婴幼儿:由于免疫系统尚未发育完全,比较常见。
- 佩戴义齿:特别是夜间不摘下的活动假牙,为真菌提供了滋生环境。
- 感觉:可能伴有口干、烧灼感或轻微疼痛。
口腔扁平苔藓
一种常见的口腔黏膜慢性炎症性疾病。
- 外观:表现为白色条纹、网状、环状或斑片状的病损,周围可能伴有充血发红的黏膜,病损通常对称出现,常见于颊黏膜、舌、牙龈等处,有时白色条纹周围可见一些小的、淡蓝色或紫色的小丘疹(称为“Wickham纹”)。
- 成因:病因尚不完全明确,可能与精神压力、免疫因素、药物(如某些降压药、抗疟药)、感染或遗传有关。
- 感觉:大部分患者没有自觉症状,但部分人会感到口腔黏膜粗糙、发涩,或出现烧灼感、刺激痛,尤其在吃辛辣、烫的食物时加重。
牙垢或食物残渣
这是最无害、最常见的原因。
(图片来源网络,侵删)
- 外观:通常是附着在牙齿表面或牙龈边缘的软垢,或者卡在牙缝里的食物残渣,看起来是白色的,用舌头或棉签可以轻松擦掉。
- 成因:口腔清洁不到位,食物残渣堆积。
- 感觉:通常没有不适感,但可能引起口臭。
咬颊习惯
- 外观:由于无意识地咬到口腔内壁,在经常被咬到的部位会形成一条白色的、增厚的横线或带状区域,这是口腔黏膜对长期物理刺激的一种增生性反应。
- 成因:压力、焦虑或不良习惯。
- 感觉:通常没有疼痛,但有时会感到该区域黏膜变厚。
您可以怎么做?(自我观察和初步处理)
-
自我观察:
- 试着擦掉:用清水漱口后,用干净的棉签或纱布轻轻擦拭白色区域。
- 如果能轻松擦掉,且下面是红色黏膜:很可能是念珠菌感染或食物残渣。
- 如果擦不掉,感觉黏膜变厚、变硬:需要高度警惕口腔白斑或扁平苔藓。
- 注意伴随症状:是否疼痛、烧灼感?有没有口干?是否最近压力大、生病或换了药物?
- 回顾生活习惯:是否吸烟、饮酒、嚼槟榔?口腔清洁是否到位?
- 试着擦掉:用清水漱口后,用干净的棉签或纱布轻轻擦拭白色区域。
-
初步处理:
- 加强口腔卫生:坚持早晚刷牙,使用牙线清洁牙缝,饭后漱口。
- 调整生活习惯:戒烟限酒,避免嚼槟榔,不要吃过于辛辣、烫的食物。
- 缓解压力:保证充足睡眠,适当运动,学会放松。
- 保持口腔湿润:多喝水,避免口干。
何时必须去看医生?
如果出现以下任何一种情况,请不要犹豫,立即预约口腔科或口腔黏膜科医生:
- 白色斑块无法擦掉,质地变硬,或面积逐渐增大。
- 伴有明显的疼痛、烧灼感或刺激痛,影响进食和说话。
- 白色区域出现溃烂、出血或硬结。
- 伴有口腔麻木感、张口困难或颈部淋巴结肿大。
- 您是吸烟者、饮酒者或嚼槟榔者。
- 症状持续超过1-2周没有好转。
口腔内壁的白色东西,从无害的食物残渣到需要警惕的癌前病变都有可能。关键在于区分其性质,通过简单的自我擦拭和观察,您可以做一个初步的判断,但最可靠的方法永远是寻求专业牙医或口腔黏膜科医生的帮助,他们可以通过视诊、必要时进行活检等方式,明确诊断并给予最合适的治疗方案,早发现、早诊断、早治疗,是应对任何健康问题的黄金法则。
(图片来源网络,侵删)
文章版权及转载声明
作者:99ANYc3cd6本文地址:https://schc.com.cn/post/6617.html发布于 2025-12-16
文章转载或复制请以超链接形式并注明出处世康健康网



