口腔白色东西是什么?需警惕哪些疾病?
口腔黏膜的正常结构(生理性)
a. 角化(Keratinization)
- 位置: 最常见于上颚(硬腭)和牙龈边缘。
- 外观描述: 看起来像一层薄薄的、均匀的、珍珠白色或淡黄色的膜状物,表面光滑或呈细微的网状纹理,它不是“东西”,而是黏膜长期摩擦(如咀嚼、吞咽)后角化增厚的正常表现。
- 感觉: 完全没有感觉,是正常的生理结构。
- 文字图解:
想象一下,你用舌头舔上颚,感觉到的那个有点粗糙、但整体平滑的区域,就是它,它不是可以被刮掉的“污垢”。
(这是一个正常上颚的示意图,白色部分为正常的角化黏膜)
(图片来源网络,侵删)
食物残渣或牙菌斑(非疾病性)
a. 食物残渣
- 位置: 牙缝、舌苔、牙齿表面。
- 外观描述: 通常是不规则的白色、乳白色或淡黄色的絮状、块状或丝状物,吃完牛奶、面包、豆腐等食物后容易附着,有时会伴有异味。
- 感觉: 可以被水冲掉或用牙刷、牙线轻松清除。
- 文字图解:
就像你吃完东西后,用牙签剔出来的东西,或者在舌头上看到的一层“舌苔”的一部分,这是暂时的,清洁口腔后就会消失。
b. 牙菌斑
- 位置: 牙齿表面,尤其是牙龈边缘、牙缝。
- 外观描述: 一层薄膜状的白色或淡黄色沉积物,感觉滑腻,通常是细菌的聚集体,如果长时间不清除,它会钙化变成牙结石。
- 感觉: 刷牙前用舌头舔牙齿表面,能感觉到那种滑滑的、软软的膜感。
- 文字图解:
想象一下,牙齿表面被一层薄薄的、黏糊糊的细菌薄膜覆盖着,这是导致蛀牙和牙龈炎的元凶,需要通过有效刷牙和使用牙线来清除。
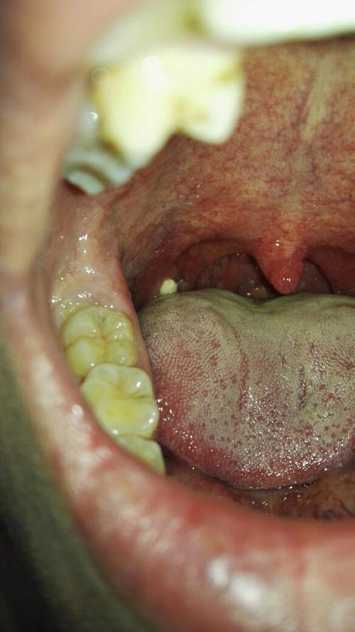
口腔黏膜疾病(需要关注)
a. 口腔溃疡(复发性阿弗他溃疡)
- 位置: 口腔内任何部位的黏膜,如唇内侧、颊黏膜、舌、牙龈等。
- 外观描述: 中心是凹陷的、淡黄色的或灰白色的溃疡面,周围有一圈红色的、充血的晕环,看起来像一个“小火山口”。
- 感觉: 非常疼痛,尤其在进食、说话时,通常有灼痛感。
- 文字图解:
它不是一个白色的“东西”,而是一个破损的伤口,中心是黄色的坏死组织,周围是发炎的红边,这是最常见的口腔黏膜病,通常1-2周会自愈。
(这是一个典型的口腔溃疡示意图,中心为黄色假膜,周围为红晕)
b. 念珠菌病(鹅口疮 / 雪口病)
- 位置: 舌头、颊内侧、上颚、口角。
- 外观描述: 表面为乳白色、豆腐渣样或凝乳状的斑片,略微凸起,斑片不易被擦掉,如果强行刮除,下方会露出红色的、容易出血的糜烂面。
- 感觉: 可能伴有口干、烧灼感或味觉改变,常见于婴幼儿、老年人、免疫力低下者或长期使用抗生素者。
- 文字图解:
想象一下,舌头上长了一层厚厚的、像牛奶干掉或豆腐渣一样的白色物质,擦不掉,一擦就疼、就出血,这是真菌感染,需要抗真菌药物治疗。
(这是鹅口疮的示意图,白色斑块不易擦除)
c. 口腔白斑
- 位置: 常见于颊黏膜、牙龈、舌侧缘。
- 外观描述: 表面粗糙、呈灰白色或乳白色的斑块,形态不规则,界限清楚,质地较硬,有时可出现裂纹或皱褶。无法擦掉。
- 感觉: 早期通常没有明显疼痛感,但可能感觉粗糙,属于癌前病变,需要高度重视。
- 文字图解:
它不像溃疡那样凹陷,而是**平的或略微凸起的斑块**,摸起来感觉像砂纸一样粗糙,它与吸烟、咀嚼槟榔等不良习惯密切相关,如果发现长期不退的白色斑块,必须立即就医。
d. 粘下纤维性变
- 位置: 常见于颊黏膜、下唇内侧、舌腹。
- 外观描述: 黏膜苍白或珍珠白色,质地变硬、失去弹性,像皮革一样,可能出现水疱,破溃后形成白色条纹状瘢痕,导致张口困难。
- 感觉: 早期可能无明显感觉,后期会感觉口腔发木、发硬,影响张口和吞咽,与咀嚼槟榔有极强的关联性,是癌前病变。
- 文字图解:
这是一种非常危险的病变,黏膜不再是柔软的,而是变得又硬又白,像皮革一样,如果发现口腔内有发硬、发白的区域,且张口越来越困难,必须立刻就医!
总结与建议
| 现象 | 主要外观 | 能否擦掉 | 疼痛感 | 常见原因与建议 |
|---|---|---|---|---|
| 正常角化 | 均匀的白色膜 | 不能 | 无 | 正常生理结构,无需处理。 |
| 食物残渣 | 不规则絮状/块状 | 能 | 无 | 饭后漱口,使用牙线、牙刷清洁。 |
| 牙菌斑 | 薄膜状,滑腻 | 能(软) | 无 | 加强口腔卫生,正确刷牙、使用牙线。 |
| 口腔溃疡 | 黄色中心+红晕 | 能(会痛) | 剧痛 | 应激、免疫等导致,通常1-2周自愈。 |
| 鹅口疮 | 豆腐渣样,凝乳状 | 不能(下方出血) | 灼痛感 | 真菌感染,需抗真菌药物治疗。 |
| 口腔白斑 | 粗糙、灰白色斑块 | 不能 | 早期无 | 癌前病变!与烟酒、槟榔有关,立即就医。 |
| 粘下纤维化 | 皮革样、发硬发白 | 不能 | 后期发木 | 高度癌前病变!与咀嚼槟榔强相关,立即就医。 |
重要提示: 以上描述仅为参考,不能替代专业医疗诊断,如果您口腔内的白色物质出现以下情况,请务必及时去看口腔科医生:
- 长时间不消退(超过2周)。
- 无法擦除,或强行擦除后出血。
- 伴有疼痛、灼烧感、麻木感。
- 导致张口困难、吞咽不适。
- 您有吸烟、饮酒或咀嚼槟榔的习惯。
医生会通过肉眼观察,必要时进行活检等方式,给出最准确的诊断和治疗建议。
(图片来源网络,侵删)
(图片来源网络,侵删)
文章版权及转载声明
作者:99ANYc3cd6本文地址:https://schc.com.cn/post/6904.html发布于 2025-12-19
文章转载或复制请以超链接形式并注明出处世康健康网



