口腔溃疡愈后白斑会自行消失吗?
下面我为您详细解释一下原因、应对方法以及需要注意的警示信号。
(图片来源网络,侵删)
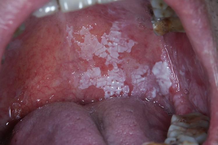
为什么会留下白斑?
口腔溃疡的愈合过程可以简单理解为“伤疤修复”,这个白斑其实是愈合过程中的一个特殊阶段:
-
黏膜修复的“创可贴”:当溃疡面(黏膜缺损)开始愈合时,身体会启动修复机制,新的、尚未完全成熟的黏膜细胞会从溃疡边缘向中心生长,形成一层薄薄的、不透明的膜,覆盖在伤口上,这层膜就是您看到的白色或灰白色斑块,它起到了类似“创可贴”的保护作用,防止下面的新生组织受到刺激和感染。
-
角化过程:在愈合的后期,新生黏膜的表层细胞会发生角化,也就是细胞会变得更厚、更硬,颜色也会变白,这是黏膜成熟的一个标志,就像皮肤愈合后会留下一点浅色印记一样。
-
炎症后色素沉着(或脱色):严重的溃疡会引起局部炎症反应,炎症消退后,有时会影响局部的色素代谢,可能导致色素沉着(颜色变深)或色素脱失(颜色变白),您看到的白斑就属于后者。
(图片来源网络,侵删)
这个白斑会怎样发展?
这个愈合期的白斑通常会遵循以下规律:
- 逐渐变薄:随着时间的推移,保护膜会越来越薄。
- 颜色变淡:白色会逐渐变浅,接近周围正常黏膜的颜色。
- 最终消失:在一到两周内,这层白斑会完全脱落或与周围黏膜融为一体,最终恢复正常,不留痕迹。
我应该怎么办?
在白斑没有完全消失之前,您可以这样做来促进愈合和防止复发:
- 保持口腔卫生:这是最重要的,坚持早晚刷牙,饭后漱口,使用温和的漱口水(如淡盐水或不含酒精的医用漱口水),清除食物残渣,防止细菌滋生。
- 避免刺激:
- 食物:避免吃辛辣、过烫、过硬、过酸的食物(如薯片、辣椒、柠檬等),以免刺激到正在愈合的区域。
- 习惯:不要再用舌头或手去反复摩擦、抠挠那个白斑,以免撕扯新生组织,延缓愈合。
- 饮食清淡:多吃富含维生素B族、维生素C和锌的食物,如新鲜蔬菜、水果、全谷物、坚果等,这些营养素有助于黏膜的修复。
- 保证充足睡眠:熬夜、压力大是诱发口腔溃疡的常见原因,充足的休息能帮助身体更好地恢复。
- 耐心等待:给它一点时间,这是正常的愈合过程。
⚠️ 什么时候需要警惕并就医?
虽然绝大多数白斑是良性的,但您也需要学会识别一些“危险信号”,如果出现以下情况,建议及时去看口腔黏膜科或口腔科医生:
- 长时间不消退:如果白斑在2-3周后依然没有变淡、消失,甚至范围扩大了。
- 形态和质地改变:
- 白斑表面变得粗糙、变硬、增厚,或者出现颗粒、结节、疣状的形态。
- 用手触摸感觉发硬,不像黏膜那么柔软。
- 疼痛加剧或持续:在溃疡已经愈合后,白斑区域反而出现持续的、无诱因的疼痛或烧灼感。
- 伴随其他症状:比如口腔内出现多个白斑,或者白斑周围出现红色区域,甚至颈部淋巴结肿大。
- 无法明确诱因:如果您的溃疡非常严重,愈合后留下明显的白斑,并且频繁复发(一个月好几次),最好也去检查一下,排除其他潜在问题。
口腔溃疡愈合后留下白斑,大概率是身体正在努力修复的“功劳章”,它通常是暂时的、良性的,会在一到两周内自行消失。
(图片来源网络,侵删)
您现在要做的就是:保持耐心,注意口腔卫生,避免刺激,并密切观察它的变化。 如果它遵循“逐渐变淡、变薄、最终消失”的规律,就安心等待即可,如果出现上述任何“危险信号”,不要犹豫,立即寻求专业医生的帮助,以便得到明确的诊断和安心。
文章版权及转载声明
作者:99ANYc3cd6本文地址:https://schc.com.cn/post/7193.html发布于 2025-12-21
文章转载或复制请以超链接形式并注明出处世康健康网



