吃热东西口腔上颚脱皮是烫伤还是病?
下面我为您详细分析一下可能的原因、如何处理以及如何预防。
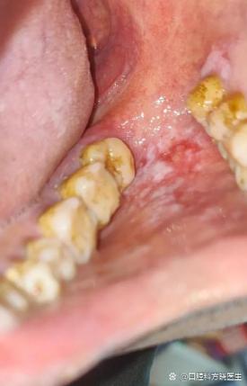
(图片来源网络,侵删)
可能的原因
吃热东西导致上颚脱皮,主要有以下几个方面的原因:
物理刺激(最常见的原因)
- 烫伤:这是最主要的原因,过热的食物或饮料(如热汤、热茶、火锅、刚出炉的面包)会直接烫伤口腔上颚娇嫩的黏膜,轻微烫伤会导致黏膜充血、水肿,然后坏死、脱落,形成白色或淡黄色的脱皮区域,并伴有疼痛感。
- 摩擦:如果食物比较粗糙(如薯片、硬饼干、坚果壳),或者您咀嚼时比较用力,也会对上颚黏膜造成物理性磨损,导致表层细胞脱落。
化学刺激
- 刺激性食物:除了温度,食物本身的刺激性也可能导致脱皮。
- 过酸:柠檬、酸梅、醋等。
- 过辣:辣椒、芥末等。
- 过咸:腌制食品、过咸的菜肴。 这些食物会刺激黏膜,使其变得脆弱,更容易在受到温度影响时受损。
感染因素
- 病毒感染:最典型的是手足口病,虽然常见于儿童,但成人也可能感染,除了手、足、口出现疱疹,口腔上颚也是疱疹的好发部位,疱疹破溃后会形成溃疡和脱皮,通常伴有发烧、乏力等症状。
- 细菌或真菌感染:口腔卫生不佳或免疫力下降时,可能导致细菌或真菌(如念珠菌)感染,引起黏膜炎症和脱落。
营养缺乏
- B族维生素(特别是B2、B12)缺乏:维生素B2(核黄素)缺乏会导致口角炎、唇炎,也可能影响口腔黏膜的健康,使其变得干燥、脱屑。
- 铁、锌等微量元素缺乏:同样会影响黏膜的修复和再生能力。
过敏反应
- 对某些食物或口腔护理产品(如牙膏、漱口水)中的成分过敏,也可能引发口腔黏膜的过敏反应,导致红肿、瘙痒、脱皮。
其他疾病
- 扁平苔藓:一种原因不明的慢性口腔黏膜炎症,表现为白色条纹或斑块,有时伴有糜烂和脱皮。
- 天疱疮:一种严重的自身免疫性疾病,口腔内会出现水疱,破溃后大面积脱皮,但这比较罕见。
怎么办?(处理和缓解方法)
当发生上颚脱皮时,可以采取以下措施来缓解不适并促进愈合:
- 立即降温:马上用凉水或冰水漱口,含一小块冰块,可以减轻烫伤和疼痛感。
- 饮食调整:
- 避免刺激:暂时不要再吃热的、辛辣的、酸的、硬的食物。
- 选择温和食物:吃一些温凉、柔软的食物,如粥、烂面条、酸奶、蒸蛋等。
- 多喝水:保持口腔湿润,有助于黏膜修复。
- 口腔卫生:
- 轻柔刷牙:刷牙时动作要轻,避免刷毛碰到上颚的伤口。
- 使用温和漱口水:可以用淡盐水(一杯温水加半茶匙盐)或不含酒精的温和漱口水漱口,帮助清洁和消炎,不要使用刺激性强的漱口水。
- 避免舔舐和抠挠:不要用舌头去舔或用手去抠脱皮的地方,这会加重损伤和感染风险。
- 促进愈合:
- 使用西瓜霜喷剂:这是一种常见的中成药,有清热解毒、消肿止痛的作用,对口腔溃疡和烫伤很有效。
- 涂抹口腔溃疡膏:可以形成保护膜,隔绝刺激,促进愈合。
- 补充维生素:如果怀疑是营养缺乏,可以适当补充复合维生素B片。
如何预防?(关键所在)
预防胜于治疗,养成以下习惯可以有效避免上颚脱皮:
- 放慢吃饭速度:这是最重要的一点!吃东西前先吹一吹,或者小口品尝,等食物温度降下来再吃,不要心急。
- 注意食物温度:喝热饮时用吸管,让液体绕过上颚;吃火锅、烧烤时,务必等食物放凉再入口。
- 选择温和食物:减少对口腔黏膜的物理和化学刺激。
- 保持口腔卫生:每天早晚刷牙,饭后漱口,定期洗牙,防止细菌滋生。
- 均衡饮食:确保摄入足够的B族维生素、铁、锌等营养素,多吃蔬菜水果、粗粮、瘦肉等。
- 管理压力和作息:长期熬夜、精神压力大、免疫力下降时,口腔问题更容易出现。
何时需要就医?
大多数情况下,轻微的烫伤脱皮几天内会自行愈合,但如果出现以下情况,建议及时去看医生(口腔科或皮肤科):
(图片来源网络,侵删)
- 脱皮面积大,疼痛剧烈,影响正常进食和说话。
- 超过一周仍不愈合,或者反复发作。
- 伴有全身症状,如发烧、乏力、皮疹等。
- 脱皮区域出现化脓、异味,可能是继发了细菌感染。
- 怀疑是过敏或其他疾病(如扁平苔藓)引起。
医生会根据具体情况,做出准确诊断并给予相应的治疗。
总结一下:吃热东西上颚脱皮,最常见的原因就是烫伤,处理上以降温、休息、避免刺激为主,预防的关键在于“慢”和“凉”,如果情况持续或加重,一定要及时寻求专业医疗帮助。
(图片来源网络,侵删)
文章版权及转载声明
作者:99ANYc3cd6本文地址:https://schc.com.cn/post/8429.html发布于 01-12
文章转载或复制请以超链接形式并注明出处世康健康网



