口腔白色颗粒是何物?
口腔溃疡(复发性阿弗他溃疡)
这是最常见的原因,俗称“口疮”。
(图片来源网络,侵删)
- 外观描述:
- 通常是单个或多个的圆形或椭圆形小溃疡。
- 中心颜色为黄色或灰白色,看起来像一个浅浅的“凹坑”。
- 溃疡周围有一圈红色的晕环,这是炎症区域。
- 大小不等,从米粒大小到指甲盖大小都有。
- 触摸时会有明显的疼痛感,尤其是在进食、刷牙或说话时。
- 常见位置:
嘴唇内侧、脸颊内侧、舌头上、牙龈上、软腭等任何口腔黏膜部位。
- 可能原因:
免疫力下降、精神压力大、睡眠不足、缺乏维生素(特别是B族维生素)、食物刺激(如辛辣、酸性食物)、局部创伤(如咬到)等。
- 怎么办:
- 无需特殊治疗,可自愈。 一般7-14天会自行愈合。
- 可以使用西瓜霜喷剂、口腔溃疡贴、康复新液等非处方药来缓解疼痛、促进愈合。
- 保持口腔卫生,避免刺激性食物。
黏液腺囊肿
这是由于小唾液腺的导管被堵塞,唾液潴留形成的囊肿。
- 外观描述:
- 表现为一个半透明或淡蓝色的小水疱,看起来像一粒“米”或“珍珠”。
- 大小通常比较固定,质地柔软有弹性。
- 如果囊肿破裂,会流出黏稠的液体,然后可能又慢慢长起来。
- 常见位置:
- 最常见于下唇内侧,也可见于舌尖、舌腹等部位。
- 可能原因:
局部咬伤、刺伤等导致导管损伤。
(图片来源网络,侵删) - 怎么办:
- 小囊肿有时会自行消失。
- 如果反复发作或影响生活,建议去医院口腔颌面外科就诊,医生可能会进行手术切除。
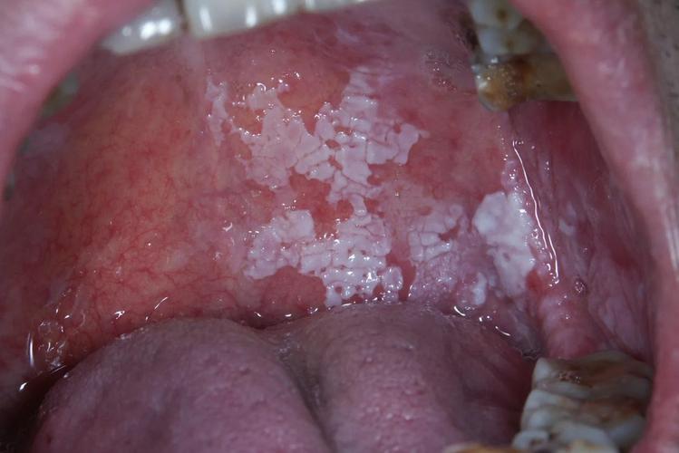
鹅口疮(雪口病)
这是一种由真菌(白色念珠菌)感染引起的口腔疾病,常见于婴幼儿、老年人或免疫力低下者。
- 外观描述:
- 表现为乳白色、豆腐渣样的斑块。
- 斑块略高于黏膜表面,看起来像一层“奶皮”或“撒了一层白粉”。
- 最关键的特征是:用棉签或牙刷轻轻擦拭,斑块不易被擦掉,强行擦掉后下方会发红的黏膜,甚至有点状出血。
- 常见位置:
舌头、颊部、上颚、口角等部位。
- 可能原因:
长期使用抗生素、免疫力低下、佩戴假牙清洁不当、婴儿通过产道感染等。
- 怎么办:
- 这是需要治疗的! 不要自行处理。
- 应及时就医,医生通常会开具抗真菌的药物(如制霉菌素片、氟康唑等)。
皮脂腺异位
这是一种正常的生理变异,不是疾病。
(图片来源网络,侵删)
- 外观描述:
- 表现为针尖大小、淡黄色或淡白色的小丘疹。
- 通常成群出现,排列成一条线或一小片。
- 没有疼痛感,不痛不痒。
- 表面光滑,质地较硬。
- 常见位置:
- 上唇、颊黏膜,有时也见于生殖器部位。
- 可能原因:
胚胎发育时期皮脂腺错位生长所致,与激素水平有关,在青春期后会更明显。
- 怎么办:
- 无需治疗,因为它不影响健康,也不会恶变,这是个人正常的生理特征。
口腔白斑
这是一种癌前病变,需要高度警惕。
- 外观描述:
- 表现为口腔黏膜上的白色斑块或斑块状损害。
- 斑块表面粗糙、质地变硬,呈皱纸状、疣状或颗粒状。
- 不易擦掉,与周围组织界限清晰。
- 通常没有明显的疼痛感,但有些患者可能感觉粗糙、发麻或有异物感。
- 常见位置:
- 最常见于颊黏膜、牙龈、舌腹等部位,与长期吸烟、咀嚼槟榔、饮酒等刺激有关。
- 可能原因:
长期物理或化学刺激(如烟、酒、槟榔、残根残牙的刺激)。
- 怎么办:
- 必须立即就医! 去医院口腔黏膜科或口腔颌面外科就诊。
- 医生会进行活检来明确诊断,排除癌变的可能,治疗包括去除刺激因素和手术切除等。
如何初步判断和处理?
| 特征 | 口腔溃疡 | 黏液腺囊肿 | 鹅口疮 | 皮脂腺异位 | 口腔白斑 |
|---|---|---|---|---|---|
| 外观 | 黄/白色凹坑,周围红晕 | 半透明/淡蓝色小水疱 | 豆腐渣样,可擦掉但下方会出血 | 针尖大小淡黄/白小丘疹,成群 | 粗糙、硬的白色斑块 |
| 感觉 | 疼痛明显 | 一般不痛,除非破裂 | 可能伴有灼痛感 | 不痛不痒 | 可能粗糙、发麻,通常不痛 |
| 位置 | 任何黏膜 | 下唇内侧多见 | 舌、颊、上颚 | 上唇、颊黏膜 | 颊、牙龈、舌腹 |
| 自愈性 | 会自愈 (7-14天) | 可能反复 | 不会自愈,需治疗 | 永久存在 | 不会自愈,需警惕 |
| 处理建议 | 观察或使用非处方药 | 反复发作者需手术 | 立即就医 | 无需处理 | 立即就医 |
总结建议
- 先观察: 仔细看看白色颗粒的外观、位置和是否疼痛,对照上表进行初步判断。
- 不要自行诊断: 网络信息仅供参考,不能替代专业医生的诊断。
- 何时需要看医生?
- 疼痛剧烈,影响进食和说话。
- 白色颗粒持续超过2周没有好转或反而变大。
- 反复发作,在同一位置或多个位置不断出现。
- 怀疑是鹅口疮(能擦掉,下方出血)或口腔白斑(粗糙、硬、不痛)。
- 伴有发烧、淋巴结肿大等全身症状。
最稳妥的做法是:拍下清晰的照片,尽快去医院的口腔科或口腔黏膜科就诊,让医生进行专业的诊断和治疗。
文章版权及转载声明
作者:99ANYc3cd6本文地址:https://schc.com.cn/post/9471.html发布于 01-22
文章转载或复制请以超链接形式并注明出处世康健康网



