口腔得尖锐有什么反应
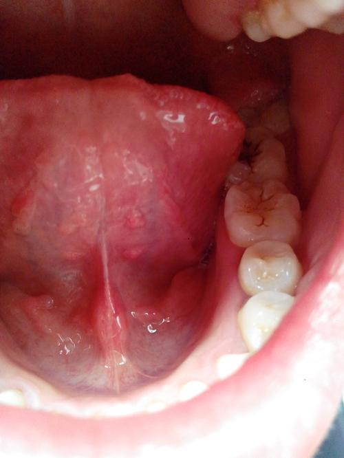
主要症状和体征(肉眼可见的反应)
这是最直接的反应,通常表现为口腔内出现单个或多个的赘生物。
(图片来源网络,侵删)
-
外观形态:
- 菜花状:最典型的形态,像小菜花一样,表面凹凸不平,有多个细小的指状突起。
- 乳头状:表面呈乳头样,颗粒粗糙。
- 丘疹状:初期可能表现为单个或多个小的、淡红色或肤色的小丘疹,质地柔软。
- 斑块状:有时也可能表现为表面光滑的扁平斑块。
-
颜色:
- 通常呈粉红色、白色、灰色或浅褐色,颜色与周围黏膜相近,有时不易察觉。
-
大小和数量:
- 大小不一,可以从几毫米到几厘米不等。
- 数量可从一个到多个,甚至融合成片状。
-
好发部位:
(图片来源网络,侵删)- 舌下系带:这是最常见的部位之一。
- 口底:舌头下方区域。
- 软腭:口腔上后方软的区域。
- 唇、颊黏膜、牙龈:也可能发生,但相对较少。
自我感觉和不适反应
根据湿疣的大小、位置和数量,患者可能会有以下感觉:
- 异物感:这是最常见的早期感觉,感觉口腔里有东西,像“塞了东西”一样不舒服,尤其是在吞咽或说话时。
- 轻微疼痛或不适:通常不痛,但如果疣体长得较大、较多,或者在咀嚼、说话时受到摩擦,可能会感到轻微的疼痛、灼烧感或刺痛感。
- 出血:如果疣体表面破损(比如不小心咬到),可能会引起出血。
- 口臭:如果疣体表面有食物残渣堆积,可能导致局部细菌滋生,从而引起口臭。
- 影响吞咽和说话:当疣体长在咽喉部或舌根等关键位置时,可能会影响吞咽功能,导致吞咽困难,或影响发音,导致说话不清。
需要特别注意的严重情况(癌变风险)
虽然绝大多数口腔尖锐湿疣是良性的,但需要警惕的是,某些高危型HPV(特别是HPV-16型)的长期感染,与口腔癌的发生有密切关系。
如果出现以下“警示信号”,应立即就医,不要耽搁:
- 疣体迅速增大:短时间内体积明显变大。
- 表面形态改变:变得粗糙、硬结,或出现溃疡、糜烂,长期不愈合。
- 剧烈疼痛:出现持续的、不明原因的疼痛,尤其是在耳部、下颌区域。
- 出血不止:轻微触碰或自发性出血。
- 颈部淋巴结肿大:如果颈部出现无痛性、持续增大的淋巴结,可能是癌细胞转移的迹象。
- 其他症状:如出现不明原因的体重下降、极度疲劳等。
重要提醒
-
必须由医生诊断:口腔内出现任何异常,切勿自行判断,很多其他口腔疾病(如乳头状瘤、纤维瘤、复发性阿弗他溃疡、创伤性溃疡等)的外观可能与尖锐湿疣非常相似。必须去医院口腔科或皮肤科,由医生进行专业诊断,医生可能会通过肉眼观察,或进行醋酸白试验、HPV核酸检测来确诊。
(图片来源网络,侵删) -
病因与治疗:
- 病因:主要通过口交等性行为传播,保持健康的性生活方式是预防的关键。
- 治疗:一旦确诊,治疗的目标是去除疣体,治疗方法包括:
- 物理治疗:激光、冷冻、电灼等,是常用方法。
- 外用药物:如咪喹莫特乳膏等。
- 手术治疗:对于巨大疣体,可能需要手术切除。
- 病毒清除:治疗后,HPV病毒可能仍潜伏在体内,有复发可能,定期复查非常重要。
口腔尖锐湿疣的主要反应是出现菜花状或乳头状的赘生物,伴有异物感,严重时可能影响吞咽和说话,最关键的是,一旦发现口腔内有不明增生物,应立即就医,明确诊断并接受规范治疗,同时警惕癌变风险。
文章版权及转载声明
作者:99ANYc3cd6本文地址:https://schc.com.cn/post/9550.html发布于 01-23
文章转载或复制请以超链接形式并注明出处世康健康网



