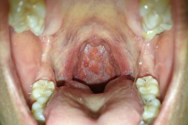
口腔溃疡反复,是身体在报警吗?

口腔溃疡(学名:复发性阿弗他溃疡,Recurrent Aphthous Stomatitis, RA...

上海皮肤科哪家强,榜首医院是哪家?

上海华山医院皮肤科在全国乃至亚洲都享有极高的声誉,被公认为绝对的顶尖和首选,但为了给您更全面的信息,...

精选导读

皮肤溃烂流水,用什么药能快速止住?

这是一个非常严肃的健康问题,“皮肤溃烂流水”在医学上称为“渗液”或“糜烂”,它本身不是一个独立的疾病,而是多种皮肤问题或系统性疾病的共同表现。自行用药存在很大风险,可能会加重感染、延误病情,甚至导致更严重的后果。(图片来源网络,侵删) 最最重要、最首要的一步是:立即就医,明确诊断! 医生会根据您的具...

皮肤黄穿棕色显白还是显暗?

当然适合!皮肤黄(我们通常说的暖色调肤色,如黄皮、橄榄皮)穿棕色衣服不仅适合,而且是非常经典、显气质且能提亮肤色的选择。(图片来源网络,侵删) 很多人对棕色有误解,觉得它“老气”、“显黑”,其实那是因为选错了棕色的色调和搭配方式,下面我为你详细拆解一下,如何把棕色穿出高级感。 为什么皮肤黄适合穿棕色...

轻微食物中毒如何快速缓解?

休息、补水、观察 轻微食物中毒通常是由于食用了被细菌(如沙门氏菌、大肠杆菌)或其毒素污染的食物引起的,身体需要通过腹泻和呕吐来排出这些有害物质,我们的护理目标是支持身体这个过程,同时防止脱水。 第一步:立即处理和短期措施(发病后6-24小时内) 这个阶段的主要任务是让肠胃“休息”,并防止脱水。 暂停...

气血不足吃什么食物调理最有效?

核心调理原则 在挑选和搭配食物时,请遵循以下几个核心原则:(图片来源网络,侵删) 健脾是关键:脾胃是气血生化的“工厂”,只有脾胃功能强健,吃进去的食物才能被有效转化为气血,所有补气血的方法都应以健脾为基础。 温补为主:气血不足的人体质通常偏虚寒,所以应选择性味甘、温的食物来温补,避免生冷寒凉的食物。...

水银沾皮肤会中毒吗?

这是一个非常重要且常见的安全问题。(图片来源网络,侵删) 答案是:会,但情况比较复杂,取决于接触的汞的形态、接触面积、接触时间以及个人的皮肤状况。 单次、少量的液态金属汞(水银)短暂接触皮肤,通常不会引起急性中毒。 如果接触面积大、时间长,或者皮肤有破损,就存在中毒风险。 更严重的是,汞蒸气才是中毒...

胃反酸吃点什么食物好

推荐吃的食物(“友好”食物清单) 这些食物有助于缓解反酸、保护食道黏膜。(图片来源网络,侵删) 碱性或弱碱性食物 它们可以中和一部分胃酸,快速缓解烧心感。 香蕉:质地柔软,富含抗酸成分,是缓解反酸的“明星水果”。 燕麦:富含可溶性膳食纤维,能吸收多余的胃酸,并且是温和的碳水化合物来源。 全麦面包(选...

施洁珺医生浙江省口腔医院擅长哪些口腔问题?

施洁珺医生是浙江省口腔医院(浙江大学医学院附属口腔医院)牙周病科的一位非常知名和受患者好评的专家,以下是她的详细介绍: 核心信息概览 姓名: 施洁珺 所在医院: 浙江省口腔医院(浙江大学医学院附属口腔医院) 所在科室: 牙周病科 职 称: 主任医师、教授、博士生导师 门诊地点: 庆春院区(杭州市下城...

食物真能避孕?有哪些有避孕效果的食物?

这是一个非常重要且需要澄清的问题,我必须非常明确地指出:(图片来源网络,侵删) 没有任何一种食物具有可靠的避孕效果。 依靠饮食来避孕是极其危险且不可靠的,可能会导致意外怀孕,科学上公认的、有效的避孕方法只有以下几种: 屏障法: 如避孕套、女用避孕套。 激素法: 如短效/长效口服避孕药、避孕针、避孕贴...

鸡皮肤怎么消除最有效?

最核心、最有效的认知是:鸡皮肤目前无法被“治愈”或“永久消除”,因为它与遗传和基因有关,通过科学、持续的护理,可以极大地改善外观,让它变得光滑、不明显,甚至接近正常皮肤。(图片来源网络,侵删) “最有效”的方法不是一个单一的秘诀,而是一个“科学护理 + 耐心坚持”的综合方案,下面我将为你详细拆解这个...

皮肤如何快速变白变细腻?

耐心 + 坚持 最重要的一点是,皮肤状态的改善不是一蹴而就的,它需要时间和持续的努力,请放下急于求成的心态,把护肤当作一种长期的自我投资。(图片来源网络,侵删) 第一步:基础护肤(地基要打牢) 这是所有美白和细腻工作的基础,如果基础没做好,后续再贵的精华都可能事倍功半。 温和清洁 目的:洗掉多余油脂...