口腔腮帮白色薄膜是何问题?
由于我无法直接显示外部图片链接,我将为您详细描述几种常见的口腔白色薄膜或斑块的形态、特点、可能原因,并配以文字描述来帮助您判断。
(图片来源网络,侵删)
重要提示:以下信息仅供参考,不能替代专业医生的诊断,如果您的口腔出现异常,请务必及时就医,由口腔科医生进行专业检查。
常见的口腔白色薄膜/斑块情况
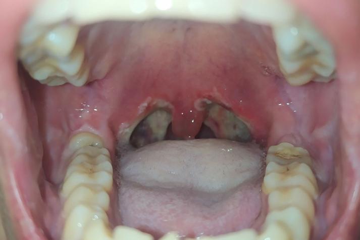
口腔念珠菌病 (Oral Thrush / 鹅口疮)
这是最常见的原因之一,由真菌(白色念珠菌)过度生长引起。
-
图片描述:
- 外观: 看起来像一层白色、奶油状、豆腐渣样的薄膜或斑块。
- 位置: 可以出现在口腔任何有粘膜的地方,包括腮帮内侧、上颚、舌头、牙龈等。
- 关键特征:
- 不易擦除: 这层膜很“顽固”,用棉签或牙刷轻轻擦拭时,它不容易被擦掉。
- 擦掉后基底: 如果强行用力擦掉,会露出下方发红、糜烂、甚至有点出血的创面,并可能感到疼痛。
- 无感或有痛感: 有时没有明显感觉,有时会感到口腔灼热、疼痛或味觉改变。
-
常见人群:
(图片来源网络,侵删)- 婴幼儿(俗称“鹅口疮”)
- 长期使用抗生素或激素的患者
- 戴假牙的人
- 免疫力低下者(如糖尿病患者、HIV感染者、化疗患者等)
口腔白斑 (Leukoplakia)
这是一种癌前病变,指口腔粘膜上出现的不能被擦除的白色斑块。
-
图片描述:
- 外观: 表面粗糙、略凸起,可能呈现皱纸状、疣状或硬结感,颜色可能为纯白色、灰白色或带有纹理。
- 位置: 最常见于颊粘膜(腮帮)、牙龈、舌侧缘等部位,通常与长期物理或化学刺激有关。
- 关键特征:
- 无法擦除: 和念珠菌病一样,这层白色斑块是 firmly attached (牢固附着) 的,无法擦掉。
- 通常无痛: 大多数白斑早期没有疼痛感,患者常常是在无意中发现。
- 高危因素: 长期吸烟(尤其是嚼烟)、酗酒、咀嚼槟榔是主要诱因。
-
警示: 口腔白斑有转化为鳞状细胞癌的风险,因此一旦发现,必须立即就医。
口腔扁平苔藓 (Oral Lichen Planus)
这是一种常见的慢性炎症性疾病,病因尚不完全明确,可能与免疫、精神压力、药物等因素有关。
(图片来源网络,侵删)
- 图片描述:
- 外观: 表现为白色、灰白色的条纹、网状或斑块状图案,像“蕾丝花边”一样。
- 位置: 常见于颊粘膜(腮帮内侧,对称出现)、舌背、牙龈等。
- 关键特征:
- “Wickham纹”: 典型的特征是这些白色条纹上可见微小的白色点或凹陷,称为“Wickham纹”。
- 可伴有红斑或糜烂: 有时在白色条纹之间或周围会看到红色的充血区,甚至出现糜烂、破溃,此时会感到明显的疼痛,尤其在进食辛辣、酸性食物时。
- 可伴有皮肤症状: 部分患者的手腕、脚踝、躯干等部位可能出现紫红色的、扁平的丘疹。
物理摩擦或化学灼伤
这是最无害的原因之一,通常是暂时性的。
- 图片描述:
- 外观: 一片界限清晰、相对均匀的白色区域,有时会起泡或脱皮。
- 位置: 通常在牙齿经常摩擦到的腮帮内侧,或刚吃过烫/刺激性食物的区域。
- 关键特征:
- 有明确诱因: 如不小心咬到腮帮、吃太烫的食物、喝了强刺激性饮料等。
- 可自行恢复: 通常在去除刺激因素后,几天到一两周内会自行消退。
- 感觉疼痛: 伤处通常会有明显的疼痛感。
角化异常
有时只是单纯的局部上皮角化过度,没有特殊病理意义。
- 图片描述:
- 外观: 一片边界清晰、薄而均匀的白色或灰白色区域,表面光滑,不高于或略高于粘膜表面。
- 位置: 常见于上颚、牙龈等处。
- 关键特征:
- 无症状: 通常没有任何疼痛或其他不适感。
- 长期存在: 可能长期存在,没有变化。
如何初步判断与建议
| 特征 | 念珠菌病 (鹅口疮) | 口腔白斑 | 口腔扁平苔藓 | 摩擦/灼伤 |
|---|---|---|---|---|
| 外观 | 奶油状、豆腐渣样 | 粗糙、硬结、皱纸状 | 白色网状、条纹状 | 均匀、边界清晰、可能起泡 |
| 可擦除性 | 不易擦除,擦掉会出血 | 无法擦除 | 无法擦除 | 有时能擦掉或脱皮 |
| 疼痛感 | 可能灼热、疼痛 | 通常无痛 | 可能疼痛(尤其糜烂型) | 通常疼痛 |
| 发展变化 | 可能扩散 | 稳定或变化缓慢 | 时好时坏,反复发作 | 几天内自愈 |
| 高危因素 | 免疫力低下、用抗生素 | 吸烟、嚼槟榔、酗酒 | 免疫、压力、药物 | 物理或化学刺激 |
总结与行动指南
-
观察与自检:
- 试着用棉签轻轻擦拭白色区域,如果一擦就掉,而且下面是红的,不疼或轻微疼,可能是念珠菌病。
- 如果擦不掉,而且表面粗糙、变硬,要高度警惕口腔白斑。
- 如果白色区域呈现“蕾丝花边”一样的网状图案,可能是扁平苔藓。
- 如果能回忆起最近有咬到或吃过烫的食物,并且几天内会好转,那很可能是普通的创伤。
-
何时必须看医生?
- 白色斑块无法擦除,且持续存在超过两周。
- 白色斑块变厚、变硬、出现溃疡。
- 伴有不明原因的口腔疼痛、吞咽困难。
- 面积在扩大,或者出现新的斑块。
- 您有吸烟、嚼槟榔、酗酒的习惯。
-
就医流程:
- 去正规医院的口腔黏膜科或口腔科。
- 医生会进行视诊,必要时可能做口腔镜检查或取一小块组织(活检)做病理分析,这是诊断口腔白斑等疾病的金标准。
网络图片只能提供参考,每个人的具体情况都不同,为了您的口腔健康,及时寻求专业医疗帮助是最安全、最正确的选择。
文章版权及转载声明
作者:99ANYc3cd6本文地址:https://schc.com.cn/post/10117.html发布于 01-29
文章转载或复制请以超链接形式并注明出处世康健康网



