艾滋病初期口腔症状图有哪些典型表现?
任何口腔症状都不能作为诊断艾滋病的依据。 艾滋病的急性感染期症状(包括口腔症状)与许多其他常见疾病(如流感、普通感冒、口腔溃疡等)的症状非常相似,没有特异性。唯一确诊艾滋病的方法是进行专业的HIV抗体/抗原检测。
以下信息仅供科普和参考,不能替代专业医疗诊断。
艾滋病初期(急性感染期)口腔症状详解
艾滋病急性感染期通常发生在感染HIV后的2-4周,也称为“窗口期”或“急性逆转录病毒综合征”时期,病毒在体内大量复制,免疫系统开始产生反应,可能出现一系列类似流感的症状。
口腔症状在这个时期相对少见,但确实有部分感染者会出现,主要可能包括以下几种:
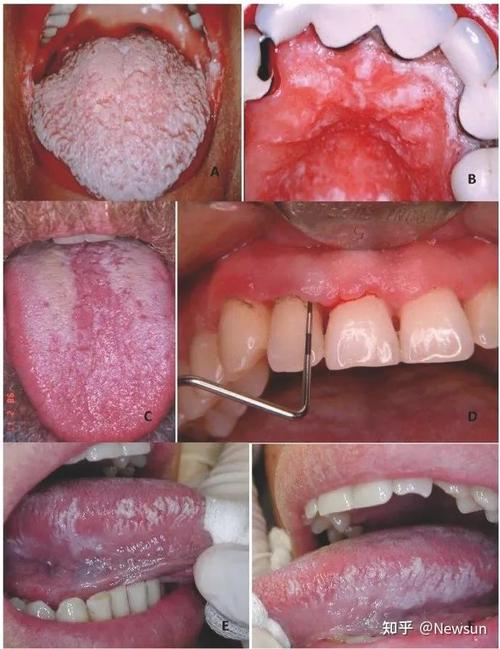
口腔念珠菌病 (Oral Candidiasis) - 最典型的早期机会性感染
这是由念珠菌(一种真菌)引起的口腔感染,是HIV感染者最早和最常见的口腔表现之一,在急性期,如果出现,通常病情较轻。
- 症状描述:
- 口腔黏膜出现白色或乳白色的斑块、斑点或伪膜。
- 这些斑块可以出现在舌头、内颊、上颚、牙龈等部位。
- 斑块通常不易擦去,如果强行擦去,下方会留下红色、轻微出血的创面。
- 可能伴有口干、味觉改变或轻微的烧灼感、疼痛感。
- 图片示意:
- 典型外观: 看起来像一层“牛奶渍”或“奶酪”覆盖在口腔黏膜上。
口腔溃疡 (Aphthous Ulcers)
口腔溃疡(俗称“口疮”)在普通人中也非常常见,但在HIV急性期,溃疡可能会更严重、持续时间更长或数量更多。
- 症状描述:
- 口腔内出现单个或多个圆形或椭圆形的溃疡。
- 溃疡表面有灰白色或黄色的假膜,周围有一圈红晕。
- 主要特点是疼痛,尤其是在进食、说话或刷牙时。
- 可以出现在舌头、嘴唇内侧、牙龈等任何位置。
- 图片示意:
- 典型外观: 一个或多个边界清晰的红色凹陷,中间有白色或黄色中心。
非特异性口腔黏膜炎症
急性感染期,全身性的免疫系统反应也可能在口腔黏膜上表现出来。
- 症状描述:
- 牙龈红肿、出血(牙龈炎)。
- 口腔黏膜广泛发红、糜烂。
- 可能伴有明显的口干,唾液分泌减少。
- 这些症状没有特定形态,但会感觉口腔整体不舒服、疼痛或灼热。
- 图片示意:
- 典型外观: 牙龈边缘明显红肿,刷牙或吃硬物时容易出血。
其他可能症状
- 颈部淋巴结肿大: 这是急性期非常常见的全身性症状之一,口腔和咽喉部的淋巴组织丰富,可能会感到颈部两侧或下颌处淋巴结肿大、有压痛,但可以活动。
- 咽喉痛: 类似于链球菌性咽炎的感觉,吞咽时疼痛。
如何正确看待这些症状?
-
不要恐慌,但需警惕: 如果你近期(尤其是过去2-4周内)有过高危行为(如无保护性行为、共用针具等),并且出现了上述任何症状,特别是伴随发烧、皮疹、喉咙痛、淋巴结肿大、肌肉酸痛等类似流感的症状,那么你需要提高警惕。
(图片来源网络,侵删) -
高危行为是关键: 症状的出现与否、严重程度都因人而异,很多人在急性感染期可能没有任何症状,或者症状非常轻微而被忽略。判断是否需要检测的唯一标准是“高危行为”,而不是“有没有症状”。
-
立即检测是唯一方法: 如果你怀疑自己可能感染了HIV,请尽快到当地的疾病预防控制中心、医院或指定的检测机构进行HIV检测,目前最常用的检测是抗原抗体联合检测,在感染后2-4周左右就能有很高的准确性。
总结表格
| 症状类型 | 典型特征 | 重要提示 |
|---|---|---|
| 口腔念珠菌病 | 白色/乳白色斑块,不易擦去,下方黏膜红、易出血 | 虽然是典型机会性感染,但在急性期可能较轻,普通人也可能因免疫力下降(如感冒、压力大)而出现。 |
| 口腔溃疡 | 圆形溃疡,红晕中心有黄白假膜,疼痛明显 | 极其常见,普通人也会长,无法作为判断依据,急性期可能更严重。 |
| 口腔黏膜炎症 | 牙龈红肿出血、黏膜广泛发红、口干 | 非特异性,是全身免疫反应在局部的表现。 |
| 颈部淋巴结肿大 | 颈部或下颌处淋巴结肿大、有压痛 | 急性期常见全身性症状之一,也可能由其他普通感染引起。 |
最后再次强调: 口腔症状是冰山一角,切勿自行对号入座,科学、及时的检测才是对自己和他人健康负责的唯一正确途径,如有疑虑,请立即寻求专业医疗帮助。
作者:99ANYc3cd6本文地址:https://schc.com.cn/post/8927.html发布于 01-17
文章转载或复制请以超链接形式并注明出处世康健康网



